Cirujano Rafael González denuncia: “Aseguradoras autorizan cirugías, pero niegan materiales y condenan a pacientes a morir”
Santo Domingo. – El cirujano bariátrico Rafael González García denunció que varias aseguradoras de salud en la República Dominicana están incurriendo en una práctica que califica como “inhumana y peligrosa”: autorizan cirugías, pero niegan la cobertura de los materiales indispensables para realizarlas, poniendo en riesgo directo la vida de los pacientes.
«Aprueban el procedimiento en papel, pero rechazan los insumos. Eso no es un trámite administrativo, es una irresponsabilidad que puede costar vidas», afirmó el especialista, al hacer un llamado urgente al Gobierno, al Consejo Nacional de Seguridad Social (CNSS) y a la Superintendencia de Salud y Riesgos Laborales (SISALRIL) para que intervenga.
El médico aseguró que se trata de una práctica recurrente. Señaló que aseguradoras como SeNaSa y ARS Futuro han negado materiales esenciales, mientras que, según dijo, otras como La Universal han llegado a rechazar pacientes aun con cirugías previamente autorizadas, al no cubrir los insumos requeridos.
González explicó que muchos pacientes enfrentan una situación crítica: cuentan con una cirugía aprobada, pero no pueden operarse porque no tienen recursos para costear materiales de alto precio. “Le dicen al paciente que su operación está autorizada, pero que los materiales no están cubiertos. Eso es jugar con su vida”, sostuvo.

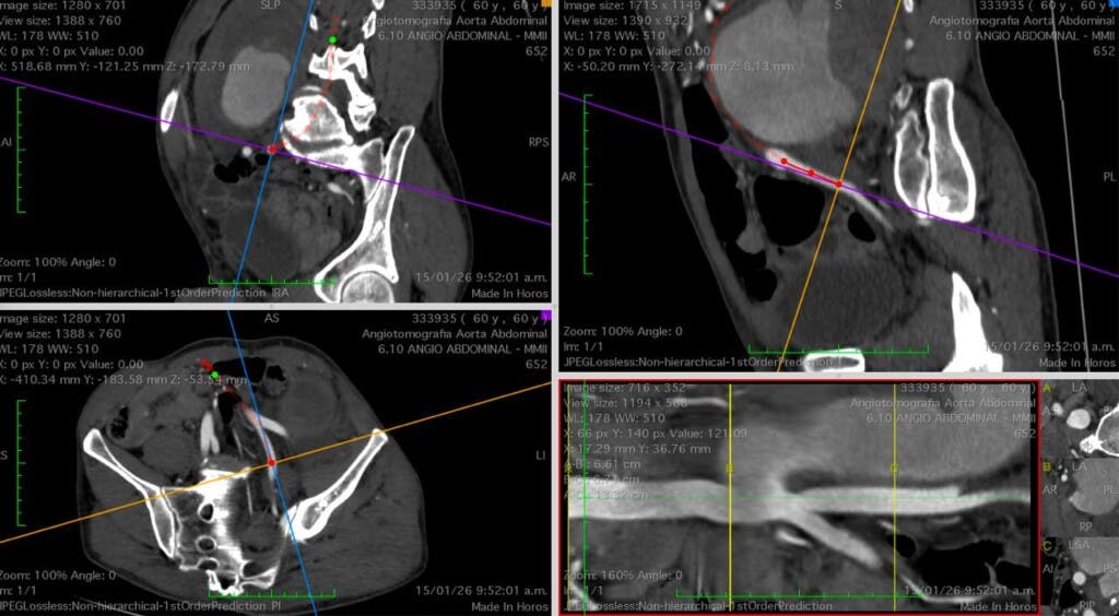
Como ejemplo, citó los casos de aneurisma de la aorta abdominal, una condición silenciosa y letal si no se trata a tiempo. Indicó que la intervención requiere una prótesis especial de politetrafluoroetileno (PTFE), cuya autorización ha sido negada en reiteradas ocasiones, según su denuncia.
«Cuando un aneurisma se rompe, el paciente muere por hemorragia interna. Negar esa prótesis es prácticamente dictar una sentencia de muerte», advirtió.
- El cirujano relató el caso de un paciente ingresado en el Hospital Padre Billini que lleva meses esperando autorización para una cirugía vital. Durante ese tiempo, explicó, ha requerido múltiples transfusiones de sangre mientras su condición se agrava.
Situaciones similares, afirmó, se han registrado en el Hospital Salvador B. Gautier, donde varios pacientes con aneurismas han permanecido en lista de espera; algunos aún aguardan respuesta y otros han fallecido tras complicaciones.

“Es devastador para un médico saber qué hacer para salvar una vida y no poder hacerlo por una negativa administrativa”, expresó González García, quien pidió una investigación urgente, sanciones y una revisión del sistema de autorizaciones para evitar que decisiones burocráticas sigan costando vidas, especialmente entre los pacientes más vulnerables.
